發布時間:2025-12-10 20:48:54 作者:試管專家

囊胚移植和普通胚胎移植有著很大的區別,這與準媽媽們最關注的嬰兒移植移植試管成功率也是息息相關的。

囊胚移植是囊胚試管嬰兒胚胎移植的一種,能提高胚胎的和普著床率,同時降低多胎妊娠的通分可能性。
很多患者不清楚囊胚移植和普通分裂期移植有什么區別,裂期下面我們就來簡單概括一下。試管
試管嬰兒移植技術就是嬰兒移植移植模仿自然懷孕的規律,在胚胎發育成囊胚狀態時,囊胚將囊胚移植到母體子宮內,和普這樣可以增加試管嬰兒的通分成功率,減少并發癥。裂期
囊胚移植的試管成功率明顯比普通移植高20%左右,普通胚胎移植是嬰兒移植移植選擇第3天的胚胎,這時已發育到8細胞。囊胚
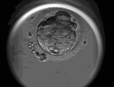
卵子在受精后會快速分裂增殖,而到了第四天,胚胎還會發生重要的代謝轉換,而在第五天胚胎會發育到囊胚階段,稱之為囊胚期。
已形成了滋養外胚層、內細胞團以及囊胚腔,此時胚胎已經包含了七十五至一百個細胞。
而滋養外層將會形成臍帶、胎盤和胎膜,而內細胞團則會發育成胎兒。
囊胚技術能夠更直觀可靠的鑒別胚胎的優劣,過程中還會淘汰劣質、甚至有缺陷的胚胎。
根據目前的案例來看,培養五天的囊胚發育成胎兒的成功率、是培養三天分裂期移胚胎的兩倍。
囊胚移植有什么優點?
1、驗證胚胎的發育潛能:
胚胎能否發育至囊胚與其自身的基因有關,當胚胎沒有發育潛能或攜帶有異常的染色體和基因時,在延長培養的過程中可因自身發育異常而被自然淘汰,只有質量最好的胚胎才能發育成囊胚。
2、胚胎發育與子宮內膜更加同步化:
囊胚期移植可提供更接近生殖生理的自然環境,具有較高的種植能力。
3、減少多胎妊娠的風險:
由于囊胚移植的種植率高,因此可以減少移植胚胎數目,如果是優質囊胚,提倡單囊胚移植,可以降低多胎妊娠率。
4、胚胎培養為分裂期胚胎活檢,進行植入前遺傳學診斷(PGD)提供了充足的時間。
囊胚移植有什么缺點呢?
1、胚胎培養失敗:
囊胚培養要求條件高,由于實驗室培養條件或胚胎自身原因,胚胎可能會停止發育或退化,導致沒有胚胎可移植。
2、可能浪費較多的卵裂期胚胎:
由于體外培養環境終究不是體內自然環境,延長培養時間,可能使一部分能夠著床的卵裂期胚胎退化。
哪些人適合選擇囊胚移植呢?
1、如染色體異常患者等需要做胚胎活檢的患者,在完成活檢后,進行囊胚培養的同時等待PGD結果。
2、因為某些原因而需要暫緩胚胎移植,但是依然希望能夠移植新鮮胚胎的患者,就可以利用培養囊胚的時間進行緩沖。
3、胚胎質量較好卻因為不明原因移植失敗,懷疑胚胎發育潛能受限。
4、預計可以成功培養出囊胚,為了優化胚胎選擇,減少同時移植胚胎的數目。
由此可見,選擇囊胚移植是優于分裂期移植的。
因為囊胚移植的培養要求條件較高,需要先進的試管設備和高端的試管技術來完成,因此費用和成功率都會更高。