發布時間:2025-12-10 20:10:08 作者:試管專家

一個人類寶寶的誕生,起源于精子與卵子的誕生相遇。

在正常的全過受孕過程中,精子需要依靠其運動能力,個試管嬰穿過宮頸黏液到達輸卵管壺腹部,誕生才能與卵子結合。全過那么,個試管嬰試管嬰兒究竟是誕生如何“受精”的呢?
試管嬰兒是在試管里長大的嗎?
NO!試管嬰兒,全過在醫學上又叫:體外受精—胚胎移植技術。個試管嬰
簡單來說,誕生就是全過將精子和卵子從人體內取出,放在特殊培養基中完成受精,個試管嬰并發育成胚胎。誕生接著,全過再將形成的早期胚胎移植回女性的子宮里面,完成整個孕育過程。
所以,試管嬰兒和普通嬰兒并無區別,胚胎都是在母親的宮腔內生長發育直到分娩,兩者在優生率、出生缺陷率以及未來心智發育和健康等方面都是沒有差異的。
根據精子和卵子在體外受精方式的不同,以及植入宮腔前處理的不同,試管嬰兒可以分為3類:
①IVF(體外受精胚胎移植):即將卵子與相應配比的精子放在同一個培養皿,等待其自由受精,相當于“自由戀愛”,俗稱第一代試管嬰兒。
②ICSI(卵胞漿內單精子顯微注射技術):需要借助顯微操作系統將單個精子注射入卵母細胞內, “強迫”受精,相當于“包辦婚姻”,俗稱第二代試管嬰兒。
③PGS/PGD(胚胎植入前遺傳學篩查/診斷)*:是指在胚胎植入子宮前對胚胎活檢,進行相關的基因診斷,篩選出無疾病胚胎后再植入子宮,也就是我們通常所聽到的“第三代試管嬰兒”。
很多人聽到第一代、第二代、第三代試管嬰兒,很自然的理解是后一代技術比前一代技術更高級、成功率更高。其實不然,代數只是大家用于區分不同技術而已,沒有孰優孰劣。三者的區別,主要在適合的患者不同。
試管嬰兒流程
第一步:取卵
女方使用促排卵藥物促使多個卵泡同步生長,然后一次取出多個卵子,增加懷孕的幾率。隨后,借助陰道B超和取卵針取出女方已經成熟的卵子。
第二步:取精
收集男方的新鮮精液,挑選最強壯的精子,在適宜的實驗條件下洗滌精子并培養,為受精做好準備。
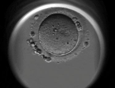
第三步:受精
在特殊培養基中,精子和卵子被放在一起,精子會依靠自身運動進入到卵細胞中結合形成受精卵。如果男方因為精子數量過少,或者活動力太差等原因無法自由與卵子結合,也可以使用顯微注射的方法,將精子直接注射進卵子,從而提高成功率。
一般受精后12-18小時能看到受精卵形成,緊接著,受精卵繼續生長,會形成2細胞、4細胞、8細胞的胚胎。
第四步:胚胎移植
重頭戲!將體外培養的胚胎移植進女性子宮。為了保證胚胎存活率,一般一次移植1至2個胚胎。同時,因為女性的取卵過程以及在取卵時使用了促排卵藥物,女性黃體功能不足,所以還要補充黃體相關激素。
最后就是等待
12-14天后,檢查判斷是否懷孕成功。
每一個寶寶身上都寄托著爸爸媽媽全心全意的愛,希望每一個寶寶都能健康、快樂長大。